Anomali Gigi: Gigi Kembar “Geminasi dan Fusi”


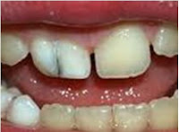
Anomali gigi yaitu gigi yang bentuknya menyimpang dari bentuk aslinya. Geminasi dan fusi atau yang dikenal sebagai gigi kembar merupakan salah satu bentuk  anomali atau kelainan pada gigi. Geminasi adalah suatu keadaan satu benih gigi yang mengalami proses pemisahan tidak sempurna pada saat perkembangannya, sehingga mahkotanya tampak terbelah menjadi dua tetapi memiliki satu akar.

Geminasi  lebih sering terjadi pada gigi seri sulung rahang bawah dan gigi seri permanen rahang atas. Secara klinis terlihat sebagai mahkota yang terbelah menjadi dua. Laki-laki dan perempuan sama-sama dapat mengalami geminasi. Perawatan geminasi dapat dilakukan dengan mengeluarkan struktur/daerah gigi yang mengalami geminasi kemudian mahkotanya diperbaiki dan dibentuk ulang. Selain itu juga dapat dengan mengurangi lebar mesio-distal gigi atau preparasi jaket dan dibungkus dengan mahkota jaket.



Gambaran foto rontgen periapikal dari geminasi


Fusi diartikan sebagai penggabungan atau penyatuan lapisan email atau dentin dari dua atau lebih gigi yang berdekatan sehingga menghasilkan struktur yang tidak normal. Faktor penyebab terjadinya fusi belum diketahui secara pasti, tetapi kemungkinan fusi terbentuk karena adanya tekanan waktu pembentukan akar. Pendapat lain mengemukakan bahwa fusi terjadi akibat gaya fisik yang mengakibatkan nekrosis jaringan epitel di antara dua benih gigi yang berdekatan sehingga berkontak dan menyatu dan ada juga yang berpendapat bahwa kelainan ini muncul secara kebetulan dan terjadi akibat faktor ras dan keturunan atau genetik.

Fusi lebih sering terjadi pada gigi sulung daripada gigi permanen dan gigi seri adalah gigi yang paling sering terkena. Anomali ini dapat terjadi pada satu (unilateral) atau dua sisi (bilateral) dan prevalensinya diperkirakan sekitar 0,5-2,5 % pada gigi sulung dan 0,1 % pada gigi permanen. Prevalensi pada gigi sulung anak-anak lebih banyak terjadi kemungkinan karena pada anak-anak lebih sering terjadi trauma akibat jatuh saat bermain dan gigi seri yang terletak di depan adalah daerah yang paling rentan mengalami trauma. 



Secara klinis, geminasi dan fusi terlihat sama dan mungkin sulit untuk dibedakan serta harus dilihat pada hasil foto rontgen untuk membedakannya secara pasti. Tetapi untuk menentukan diagnosis sementaranya apakah itu geminasi atau fusi, dapat dilakukan dengan menghitung jumlah gigi. Misalnya pada gigi anak-anak rahang bawah jumlahnya 10 gigi. Pada kasus geminasi, karena 1 gigi terbelah menjadi 2, maka jika kita menghitung jumlah giginya, akan terdapat kelebihan 1 gigi  menjadi 11, sedangkan pada fusi (dua gigi berdempet menjadi satu) tidak ditemukan kelebihan gigi.

Sumber gambar: Carranza's Clinical Periodontology edisi 10 dan Color Atlas of Periodontology oleh Rateischak EM, Wolf HF, Hassel TM 




Tidak ada komentar

Posting Komentar